Afwijkende mondgewoonten (OMFT)

Afwijkende mondgewoonten (OMFT)

Wij kunnen uw kind helpen als het:

  • moeite heeft met het kauwen en slikken van vast voedsel of eten ‘hamstert’ in de wangen
  • het duim-/vingerzuigen of speengebruik niet af kan leren terwijl het ouder is dan 3 jaar
  • steeds de mond open heeft staan als het niet praat (habitueel mondademen)
  • de tong laag in de mond heeft liggen in rust
  • met de tong tegen of tussen de tanden slikt waardoor het gebit afwijkingen kan gaan vertonen (bijvoorbeeld ‘open beet’)
  • een beugel krijgt, maar een verkeerde slikbeweging de juiste werking van de beugel tegenhoudt

 

Afwijkende mondgewoonten; tong aanzuigen en klakken als vooroefening voor het slikken

Uitleg afwijkende mondgewoonten

Duim-, vinger- en/of speenzuigen
Veel kinderen duimen of zuigen wel eens op hun vinger(s). Wanneer een kind dit op driejarige leeftijd nog steeds doet, is er sprake van afwijkend mondgedrag. Vanaf dat moment kan het duimen, zuigen of spenen een negatieve invloed hebben op de stand van de tanden en de vorm van de kaak. Daarnaast kan de kracht van spieren in en rond de mond afnemen, wat weer andere afwijkende mondgewoonten als gevolg kan hebben.
Door het zuiggedrag komt het regelmatig voor dat de spieren in en rond de mond verslappen, waardoor habitueel mondademen, open mondgedrag en afwijkend slikken kan ontstaan. Dit kan leiden tot een afwijkende vorm van het gebit dat incorrect articuleren tot gevolg heeft. Hierbij kunt u denken aan het praten met de tong tussen of tegen de tanden (bijvoorbeeld bij slissen).

 

Afwijkende mondgewoonten; lipspanning meten bij kinderen met slikproblemen

Open mondgedrag

Normaal gesproken is de mond gesloten, rust de tongpunt tegen het gehemelte achter de boventanden en wordt er door de neus geademd. Wanneer de mond gedurende de dag regelmatig open is in rust (bijvoorbeeld tijdens tv kijken), is er sprake van open mondgedrag. Vaak ligt de tong dan slap onderin de mond en drukt de tong met een grote kracht tegen de tanden aan, waardoor de tanden naar voren worden geduwd. Daarnaast is er veelal sprake van slappe mondspieren en mondademen. Wanneer dit probleem niet behandeld wordt, is er kans op incorrect articuleren (bijvoorbeeld slissen), een afwijkende groei van de kaak, tanden en kiezen en is er een verhoogde kans op oorproblemen.

Habitueel mondademen
Habitueel betekent ‘gewoonlijk’. Bij habitueel mondademen is de afwijkende mondgewoonte ontstaan om door de mond te ademen terwijl de neus voldoende doorgankelijk is. Gevolgen van habitueel mondademen kunnen zijn een terugkerende infectie in de keel of van de amandelen of zelfs een middenoorontsteking. Daarnaast heeft habitueel mondademen invloed op de groei van de kaak, tanden en kiezen.

Afwijkende tongligging in rust
De tong laag in de mond hoort eveneens tot de afwijkende mondgewoonten. Hierbij is de positie van de tong namelijk afwijkend. De tong ligt niet achter de tanden tegen het gehemelte, maar op de mondbodem, tegen of tussen de tanden of te ver achterin de mond. Dit kan de stand van de tanden en kiezen en/of de vorm van de kaak negatief beïnvloeden.

Afwijkend slikken
Er is sprake van afwijkend slikken wanneer de tong tijdens het slikken tegen de tanden en/of kiezen aan duwt of wanneer de tong tussen de tanden en/of kiezen door komt. Per dag slikt men ongeveer 2000 keer. Wanneer de tong elke keer met een grote kracht tegen of tussen de tanden en/of kiezen komt, zal dit invloed hebben op de vorm van het gebit.

OMFT (Oromyofunctionele therapie)

In ons Centrum maken wij gebruik van OMFT (Oromyofunctionele therapie), waarbij de nadruk ligt op de tong en lipversterkende oefeningen zodat er een functioneel evenwicht ontstaat tussen de werking van de verschillende spieren in en rond de mond.
Wekelijks wordt de spiersterkte opgemeten, zodat er een objectief zicht is op de voortgang van de therapie.
Naast OMFT wordt, indien nodig, ook een zachte gebruikt als extra hulpmiddel om afwijkend mondgedrag af te leren.
Wij werken hierin nauw samen met tandartsen en orthodontisten. Een tandarts en een orthodontist houden zich bezig met de vorm van het gebit, wij richten ons op de functie. Vorm en functie zijn onlosmakelijk aan elkaar verbonden en om die reden is samenwerking van essentieel belang.

Afwijkende mondgewoonten; touwtrekken met de lippen; spelletje om de lipspieren te versterken
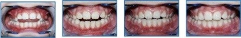
Verloop van de gebitsontwikkeling gedurende de OMFT-behandeling

Voorbeeld van resultaten van de behandeling van afwijkende mondgewoonten met OMFT.  De eerste afbeelding is vóór de therapie, de laatste afbeelding na de therapie. De tong kwam met het slikken tussen de voortanden waardoor de tanden uit elkaar waren gaan staan (open beet). Door verandering van de slikgewoonte belemmert de tong de tanden niet meer om goed op elkaar aan te sluiten en daarom groeien ze weer naar elkaar toe.